Кариес между зубами: почему он развивается незаметно и как его вылечить
В России, по данным Минздрава на 2026 год, межзубной кариес поражает до 60% взрослых, часто оставаясь незамеченным на ранних стадиях из-за труднодоступного расположения. Эта проблема приводит к серьезным осложнениям, если игнорировать первые сигналы, такие как повышенная чувствительность или легкая боль при жевании. Многие пациенты обращаются к специалистам только когда процесс запущен, но своевременное удаление кариеса позволяет сохранить зубы без потери тканей.
Межзубной кариес, или контактный кариес, представляет собой разрушение эмали в узких пространствах между соседними зубами. Он развивается скрытно, поскольку эти зоны сложно очистить обычной щеткой, и бактерии там размножаются особенно активно. В российских реалиях, где качество воды и питания варьируется по регионам, риск возрастает для жителей мегаполисов с высоким потреблением сладкого и газировки.
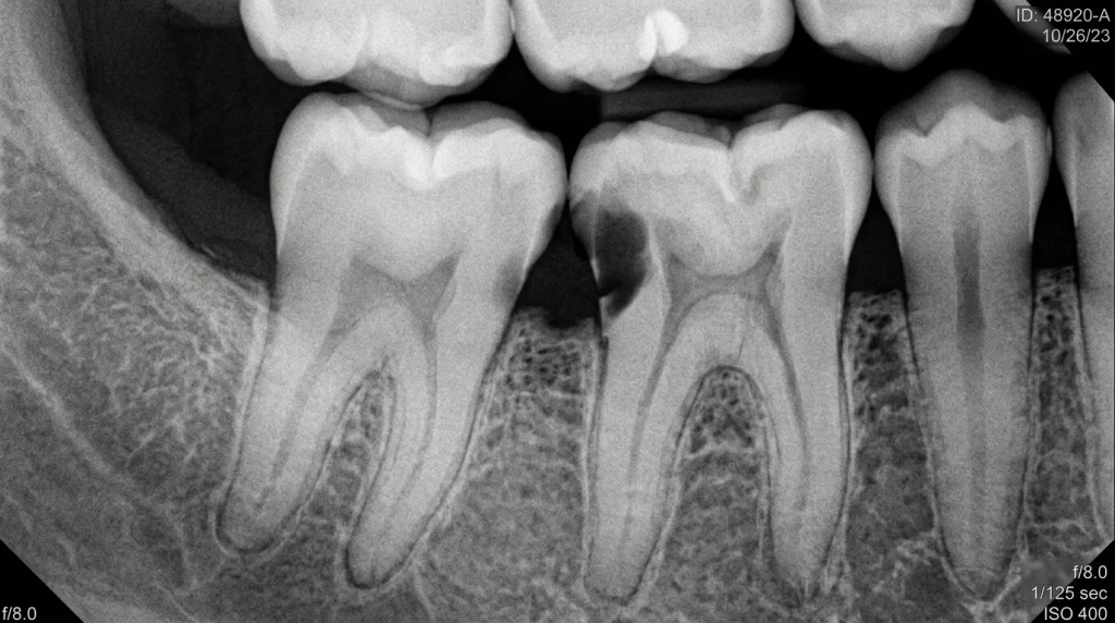
Рентгеновский снимок, показывающий кариозное поражение в межзубном пространстве на ранней стадии.
Причины возникновения межзубного кариеса коренятся в комбинации факторов. Во-первых, анатомические особенности: у многих людей зубы плотно прилегают друг к другу, создавая идеальные условия для скопления пищи и налета. Во-вторых, недостаточная гигиена — стандартная зубная щетка не достает до 40% поверхностей, по оценкам стоматологов из РНИМУ им. Пирогова. Кислоты, вырабатываемые бактериями Streptococcus mutans, разъедают эмаль, начиная с фиссур и контактных пунктов.
«Межзубной кариес — это 'тихий убийца' зубов, поскольку визуально его не видно без специального оборудования», — отмечает профессор стоматологии МГМУ им. Сеченовой.
Дополнительные риски в России связаны с климатом и образом жизни: зимой снижается слюноотделение из-за сухого воздуха, а частое употребление чая с сахаром усиливает деминерализацию. Генетика тоже играет роль — у 20–30% населения эмаль от природы тоньше, что подтверждают исследования ВНИИ стоматологии.
Этапы развития кариесного процесса между зубами
Развитие кариеса проходит несколько стадий, каждая из которых требует разного подхода. На начальной — пятнистой — эмаль белеет, минерализация нарушается, но боли нет. Это идеальный момент для реминерализации с помощью фторсодержащих паст и гелей, популярных в аптеках вроде Ригель или Сплат.
Второй этап — поверхностный кариес: эмаль разрушается, появляется шероховатость. Здесь помогают профессиональные чистки в клиниках типа Дента-Люкс или государственных поликлиниках по ОМС. Если игнорировать, переходит в средний кариес с вовлечением дентина — возникает чувствительность к сладкому и холодному.
- Пятнистый кариес: визуальные изменения без дефектов.
- Поверхностный: деминерализация эмали до 50% толщины.
- Средний: проникновение в дентин, риск пульпита.
- Глубокий: близко к нервам, требует пломбирования.
«На ранних стадиях межзубной кариес лечится без сверления — реминерализующая терапия эффективна в 85% случаев», — подчеркивает эксперт из Федерального центра стоматологии.
Диагностика — ключ к успеху. В современных российских клиниках используют интраоральные камеры и лазерную диагностику, выявляющую кариес на 30% раньше рентгена. Например, в Москве и Санкт-Петербурге такие аппарасы стоят в 70% частных центров.
Иллюстрация этапов прогрессирования межзубного кариеса с указанием глубины поражения.
Методы диагностики межзубного кариеса в российских клиниках
Выявление кариеса в межзубных пространствах требует профессионального подхода, поскольку самодиагностика часто бывает ошибочной. В России стандартный осмотр сочетается с цифровой рентгенографией, которая минимизирует облучение и дает четкие изображения. Бите-крылатые снимки — золотой стандарт для межзубных зон, позволяющий увидеть деструкцию на уровне дентина.
Современные технологии, такие как DIAGNOcam от Ka Vo, используют флуоресцентный анализ: здоровые ткани светятся синим, кариозные — красным. В клиниках Москвы и регионов, таких как Евродент или сети32, это оборудование применяется для точной оценки. Лазерная диагностика с помощью устройств типа Vista Proof обнаруживает субклинические поражения с чувствительностью 90%.
Процесс диагностики межзубного кариеса с использованием интраоральной камеры и флуоресцентного оборудования.
«Цифровая диагностика снижает риск пропуска кариеса на 40%, что особенно важно для плотных зубных рядов у россиян», — комментирует заведующий отделением в НИИ стоматологии им. Филатова.
Для профилактических осмотров по ОМС в поликлиниках предлагают бесплатную рентгенографию, но для детальной проверки лучше обращаться в платные центры с 3D-томографией. Это позволяет спланировать лечение без сюрпризов.
Современные способы лечения кариеса между зубами
Лечение зависит от стадии. На пятнистой и поверхностной реминерализация с гелями Icon или фторлаком останавливает процесс без бормашины. В России препараты Витафтор и Fluoro Cal доступны в аптеках и используются в 80% случаев начального кариеса.
При среднем и глубоком кариесе применяют минимально инвазивные методы. Сверление с коффердамом изолирует зону, предотвращая занос инфекции. Современные боры с оптоволокном и ультразвуковые скейлеры удаляют только пораженные ткани. Пломбы из композитных материалов, таких как Филтек или отечественный Лайт-пост, светоотверждаемые, обеспечивают эстетику и прочность.
- Анестезия: артикаин-препараты Ультракаин для комфорта.
- Изоляция: коффердам для сухой полости.
- Удаление кариеса: механическое или химическое с помощью гелей.
- Обработка: антисептики и адгезивы.
- Пломбирование: слой за слоем с полимеризацией.
- Контроль: шлифовка и полировка.
Для глубоких поражений с риском пульпита используют вкладки из керамики или циркония, изготовленные по CAD/CAM в лабораториях. В 2026 году в России это стандарт в премиум-клиниках, где цена за вкладку — от 15 тысяч рублей.
«Минимально инвазивное лечение сохраняет 70% здоровых тканей по сравнению с традиционным препарированием», — данные из клинических рекомендаций Минздрава РФ.
После лечения обязательна фиссурная герметизация для профилактики рецидивов, особенно у детей и подростков.
| Метод лечения | Стадия кариеса | Преимущества | Стоимость в рублях (средняя по РФ) |
|---|---|---|---|
| Реминерализация | Пятнистая/поверхностная | Без сверления, быстро | 2000–5000 |
| Композитная пломба | Средний | Эстетично, долговечно | 4000–8000 |
| Керамическая вкладка | Глубокий | Высокая прочность | 15000–30000 |
Профилактика межзубного кариеса: ежедневные привычки и профессиональный уход
Предотвращение кариеса в труднодоступных зонах требует комплексного подхода, сочетающего домашний уход и визиты к стоматологу. Основной инструмент — зубная нить или ершики, которые удаляют налет из 100% межзубных пространств. В России популярны нити Oral-B и ирригаторы Waterpik, адаптированные для плотных зубов.
Ирригатор с режимом пульсации эффективен в 95% случаев, по данным исследований СЗГМУ им. Мечникова. Рекомендуется использовать его ежедневно вечером, чередуя с нитью. Пасты с высоким содержанием фтора (1450 ppm), такие как R.O.C.S. Pro, укрепляют эмаль, а ополаскиватели с хлоргексидином подавляют бактерии.
Необходимые средства домашней профилактики: ирригатор, нить, ершики и специализированные пасты.
«Регулярное использование ирригатора снижает риск межзубного кариеса на 50% у пациентов с ортодонтией», — статистика из Всероссийского стоматологического журнала.
Диета играет ключевую роль: ограничьте сахара и кислоты, предпочитая твердые овощи и сыр, стимулирующий слюну. В российских семьях полезно включать продукты с кальцием — творог, кефир. Питьевая вода с фтором (0,7–1,2 мг/л) в регионах с дефицитом, как в Сибири, обязательна.
- Ежедневно: нить или ирригатор 2 раза в день.
- Щетка: электрическая с мягкой щетиной для щадящей чистки.
- Паста: с фтором и ксилитом против бактерий.
- Профилактика: герметизация фиссур у детей.
Профессиональная гигиена каждые 6 месяцев с Air Flow удаляет твердый налет, недоступный дома. В государственных клиниках по полису ОМС это бесплатно дважды в год, в частных — с озонированием для стерильности.
Частые ошибки в уходе и мифы о межзубном кариесе
Многие россияне игнорируют межзубные зоны, полагая, что жвачка заменит нить — это миф, поскольку она не удаляет остатки пищи полностью. Другая ошибка — чрезмерное увлечение отбеливающими пастами, разрушающими эмаль. Выбирайте абразивность RDA ниже 70 для ежедневного использования.
Миф онатуральном лечении: сода или прополис не останавливают кариес, только маскируют. Обращайтесь к доказательной медицине. У курильщиков риск в 2 раза выше из-за сухости во рту — бросайте вредную привычку для здоровья десен.
«Жвачка полезна, но не панацея: она снижает кислотность лишь на 20 минут после еды», — совет от Ассоциации стоматологов России.
При брекетах или имплантах используйте зубную нить и ортодонтические ершики. Регулярные осмотры каждые 3–4 месяца предотвращают осложнения.
Примеры типичных ошибок: неполная очистка нитью и агрессивное отбеливание, приводящее к истончению эмали.
Особенности межзубного кариеса у детей и пожилых людей
У детей молочные зубы имеют тонкий дентин, поэтому кариес прогрессирует быстрее, часто переходя в пульпит за 3–6 месяцев. В российских школах программы Здоровые зубы включают фторирование и герметизацию, снижая заболеваемость на 30%. Родителям рекомендовано вводить нить с 6 лет под контролем, используя детские ирригаторы с низким давлением.
Пожилые пациенты страдают от рецессии десен, обнажающей корни, где кариес поражает цемент. В 2026 году по программе Старшее поколение в поликлиниках предлагают бесплатные осмотры для 65+. У них сниженное слюноотделение от лекарств требует слюннозаменителей типа Biotene и интенсивной реминерализации.
«У детей межзубной кариес — 40% случаев, у пенсионеров — корневой в 25%», — данные Росстата по стоматологическому здоровью 2025 года.
Для беременных женщин риск возрастает из-за гормональных сдвигов: обязательны осмотры ежеквартально. У пациентов с диабетом контроль глюкозы критичен, так как заживление замедлено в 2 раза.
| Группа пациентов | Особенности риска | Рекомендации | Частота осмотров |
|---|---|---|---|
| Дети 3–12 лет | Тонкий дентин, сладости | Герметизация, фтор | Каждые 4 месяца |
| Пожилые 65+ | Рецессия, сухость | Слюнозаменители, реминерализация | Каждые 3 месяца |
| Беременные | Гормоны, рвота | Кальций, пасты без фтора в 1 триместре | Ежеквартально |
Индивидуальный подход с учетом соматических заболеваний обеспечивает долгосрочный эффект.
Осложнения и когда срочно к стоматологу
Нелеченый межзубной кариес приводит к периодонтиту, абсцессам и потере зуба. Симптомы тревоги: острая боль при накусывании, отек десны, гной, лихорадка. В экстренных случаях в России звоните 103 или обращайтесь в дежурную клинику — лечение бесплатно по ОМС.
Хронические формы маскируют под пародонтит, вызывая подвижность зубов. Раннее вмешательство сохраняет 90% зубов, по данным МЗ РФ.
Современные инновации в лечении межзубного кариеса 2026 года
В 2026 году лазерная терапия Er:YAG доминирует в клиниках Москвы и Санкт-Петербурга, удаляя кариес без сверла с точностью 99%. Стоимость сеанса — 5000–8000 рублей за зуб. Нанопрепараты с серебром подавляют бактерии на 48 часов после нанесения.
3D-печать индивидуальных кап для реминерализации ускоряет восстановление на 40%. В России внедрена система ICON для инфильтрации — заполнение поражений без препарирования, идеально для начальных стадий. Биоактивные материалы на основе стеклоиономеров высвобождают фтор месяцами.
«Лазеры сократили время лечения на 60%, минимизируя боль», — отчет Минздрава РФ за 2026 год.
ИИ-сканеры в премиум-клиниках анализируют риск кариеса по слюне и рентгену, прогнозируя поражения за 6 месяцев. Доступны в сетях Дента-Люкс и Евродент.
Часто задаваемые вопросы
Как правильно использовать зубную нить для профилактики?
Отрежьте 40–50 см нити, обмотайте вокруг пальцев, оставив 2–3 см рабочий участок. Введите в межзубный промежуток под углом 45 градусов, касаясь зуба, совершайте движения вверх-вниз 8–10 раз на каждую сторону. Не пилите горизонтально, чтобы не травмировать десну.
- Для новичков: ароматизированная нить с тефлоном.
- Время: 2 минуты вечером.
- Частота: ежедневно после ужина.
Можно ли вылечить межзубной кариес без сверления?
Да, на начальной стадии методом ICON: жидкий полимер проникает в поры эмали, запечатывая их. Эффективность 87% через 3 года. Лазерная абляция или озонотерапия также без бурa. Для глубокого кариеса сверление неизбежно.
В клиниках применяют для детей и фобических пациентов.
Почему кариес развивается именно между зубами?
Щетка чистит лишь 60–70% поверхности, межзубные пространства — слепая зона. Бактерии Streptococcus mutans скапливаются там, питаясь остатками пищи, образуя кислоты. Узкие контакты препятствуют самоочищению слюной.
Сколько стоит лечение межзубного кариеса в России?
По ОМС — бесплатно в стадии кариеса, пломба от 2000 рублей в частных. Лазерное лечение — 5000–10000 рублей. Профилактическая чистка — 3000–5000 рублей. Цены в Москве выше на 20–30%.
| Стадия | Частная клиника |
|---|---|
| Начальная | 3000 руб. |
| Средняя | 5000–7000 руб. |
Как часто нужно посещать стоматолога для контроля?
Стандартно — 2 раза в год. При рисках (брекеты, диабет) — каждые 3–4 месяца. Дети до 7 лет — ежеквартально. Рентген раз в год для оценки скрытых очагов.
- Осмотр + профчистка.
- Фторирование при необходимости.
- Контроль пломб.
Эффективны ли народные средства против кариеса?
Нет, сода, соль или травы снимают воспаление, но не реминерализуют эмаль. Они маскируют проблему, ускоряя разрушение. Только профессиональные пасты с фтором и кальцием работают доказанно.
Выводы
Межзубной кариес — скрытая угроза, поражающая до 80% населения из-за неполной гигиены, но его легко предотвратить нитью, ирригатором и регулярными осмотрами. Лечение от реминерализации до лазера эффективно на ранних стадиях, особенно для детей, пожилых и беременных. Инновации 2026 года делают терапию безболезненной и быстрой.
Финальные советы: чистите зубы 2 раза в день фторсодержащей пастой, используйте нить ежедневно, пейте воду после еды, посещайте стоматолога 2 раза в год. Для риск-групп — ежеквартально с герметизацией и фторированием. Выбирайте ирригатор с 4 режимами и ополаскиватели без спирта.
Не ждите боли — запишитесь на осмотр сегодня! Здоровые зубы обеспечат улыбку на годы. Действуйте сейчас: найдите клинику по ОМС или частную, начните профилактику — и забудьте о кариесе навсегда!

Комментарии